Women who have had the Pfizer vaccine are reporting an unexpected side effect – claiming their breasts have grown bigger after having the jab.

Many women have noticed their breasts and lymph nodes had “swollen” after receiving their jabs, dubbing the effect the “Pfizer boob job”.
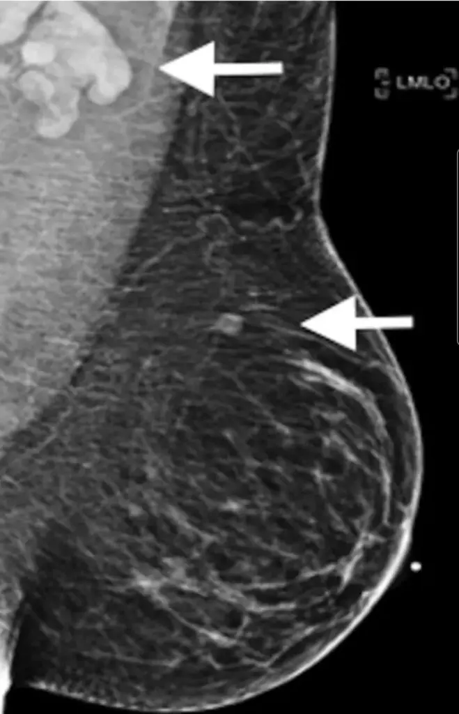
According to Australian Department of Health, inflamed lymph nodes are a less common side effect of the vaccinations.
In the US, where the vaccination rollout is further along than Australia, doctors have reported an influx of newly vaccinated women making mammogram appointments.
As reported by GreatGameIndia earlier, according to Intermountain Healthcare doctors women who were recently vaccinated for COVID-19 may show symptoms of Breast Cancer as a side-effect of the vaccine.
Dr. Laura Esserman, director of University of California San Francisco’s Breast Care Center, said women were confusing swollen lymph nodes after the vaccine for signs of cancer.
“I’m sure hundreds of thousands of women will be affected by this for sure,” said Dr. Esserman.
A study (read below) published by the Radiological Society of North America recently concluded vaccine-induced lymphadenopathy was an important side effect for clinicians, patients, and cancer researchers to be aware of as it could result in a false cancer diagnosis.
While it is not clear how long it takes for the swelling in some women’s lymph nodes to go down, it is important to note, it is a “temporary” effect.
In Australia, women over 50 who require regular mammograms have been advised to either have a mammogram first, or delay it until six weeks after vaccination, to avoid any confusion.
What causes the swelling?
When people have vaccines in their upper arm, it’s normal for the lymph nodes in the armpit on that side of the body to be activated and swell. It’s your body preparing a protective immune response, The Conversation reports.
According to the Royal Australian and New Zealand College of Radiologists, this type of swelling has not been reported with the AstraZeneca vaccine.
Swelling has been recorded in the US with the Moderna vaccine which is currently undergoing approval for use in Australia by the Therapeutic Goods Administration.

‘Pfizer boob job’ claims
Social media has exploded with reports from women stating their breasts had “got bigger” – many wondering if they were imagining their symptoms.
“I feel like my boobs got bigger because of Pfizer or am I just hallucinating,” one wrote on Twitter.
“I can confirm from personal experience that pfizer does indeed make ur boobs grow,” another stated on the social media platform.
While one wrote: “Can confirm that the pfizer vax makes ur boobs grow ffs.”

On TikTok others have shared videos of their breasts after being vaccinated, with a woman in the UK reporting she had gone up two cup sizes, from an A to a C.
Elle Marshall went viral after explaining in a video she was “so confused” by what was happening to her body as she had been an A cup her whole life.
Pfizer-Boob-Job-Women-Are-Claiming-Their-Breasts-Got-Bigger-After-Having-Pfizer-COVID-Vaccine
4 Responses
Oh, how wonderful! (NOT!)
I can’t wait until we see what kind of birth defects surface or what type of long-term side effect turn up…
Pity their brains didn’t.
I don’t understand why people are so willing to have an unknown substance injected into their bodies without researching it. It doesn’t take much digging at all to figure out the establishment and MSM aren’t going to tell you. And that’s where the research starts to get ugly.
Women should be very concerned taking the toxic inoculations not only from irregular menstrual cycles and miscarriages what else are women going to experience before their Organs are attacked by the Trillions of Synthetic Spike Proteins eventually will end up with Organ Transplants before Death. Men will experience the same thing with Synthetic Spike Proteins and what kind of other side effects could be expected. Even Transmission of what ever is being sent to those who are refusing the toxic shot is also a major concern.