Almost 80 research papers by DRDO scientists have been flagged for ‘image manipulation’. An anonymous commenter on the online platform PubPeer which is used by scientists to voice their concerns on research papers that have undergone scrutiny, flagged the papers.

The Defence Research and Development Organisation (DRDO) find themselves in hot water as research papers amounting to at least 80 from laboratories affiliated or collaborative with the organisation has been flagged by anonymous individuals, reported The Print.
The flagging was based on concerns over altered or digitally manipulated images being used which forces the question of integrity amongst goverment research scientists.
Concerns were flagged on the social platform PubPeer where scientists convene over concerns regarding research papers that have already been published after peer reviews.
The DRDO scientists were quick onto their feet and confirmed that the raised concerns will be taken into review. Another scientist who had a paper flagged for similar image issues commented that he and his team were facing technical challenges in accessing raw data files used in the paper as they dated back years and the computer had since undergone an update.
The person while confirming that the allegations will lead to scrutiny once they are able to access the raw images also insisted that if any error was present, it would be negligibly small and wouldn’t alter the conclusion in any way.
Peer review failing to spot misconduct has been prevalent and there have been numerous instances of the same over the years. The latest of which was the National Center For Biological Sciences in Bengaluru, where research papers were found to contain digitally altered images leading to a false conclusion. The paper was ultimately retracted.
Allegations of image duplication, digital alterations
The last two weeks has seen a significant jump of research papers totaling up to at least 80, some dating as far back as 2007, getting flagged by an anonymous commenter “Actinopolyspora Biskrensis” for image linked issues on PubPeer.
The anonymous commenter who also operated under the title of “Cheshire” on Twitter, has been relentlessly flagging down such issues in papers all across the world.
The commenter told the journalists that more DRDO publications are currently undergoing scrutiny, and the number of papers that are considered problematic is set to rise.
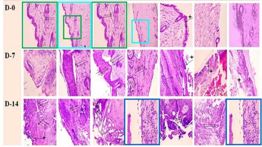
For instance, DRDO’s Institute of Nuclear Medicine and Allied Sciences published a research paper in April of this year, which according to the commenter contains three sets of images that appears to be duplicated or partially duplicated, with a difference in magnification.

Since all the images are claimed to belong to different experiments, there should be no overlaps.
A similar scenario was observed in a 2015 paper. The following image was flagged because it appears to have repeated sections with identical features which should not appear in an image of cells.

Journalists reached out to the author of the study Gurudutta Gangenahalli which is also yet to receive any reply. Gangenahalli is also a co-author of five other papers that has been flagged down for image related issues.
Gangenahalli isn’t the only researcher that has multiples of their papers flagged. At least 20 papers co-authored by Dr Shashi Bala Singh who currently sits on top at the director spot of National Institute of Pharmaceutical Education and Research (NIPER) in Hyderabad has been flagged on the site.
Cheshire pointed out in a Twitter thread that one experimental image had been reused in research papers across several years. This is particularly unusual as each paper should ideally have completely different sets of experiment images or they at the very least need to mention they’re reusing an old image.
Posted this concern @PubPeer during my @DRDO_India project. Paper is 1 year old.
1/5 pic.twitter.com/ZipoCyDdGY
Whilst all the papers flagged have researchers from DRDO as authors, there are several cases where experiments were conducted as a collaborative effort by institutions.
A paper published in October of 2020 has the following image which is quite obviously edited digitally.

V.R. Panse, an assistant professor at the Late Bhaskarrao Shingane Arts, Prof. Narayanrao Gawande Science and Ashalata Gawande Commerce College in Maharashtra, who was one of the authors of this paper, told press that the team has requested the journal to retract this paper after concerns were raised on PubPeer.
“As soon as this was brought to my notice, I reprimanded the student and wrote to the journal to withdraw the paper. It was also my mistake that I did not check the images myself,” Panse said.
“The author from DRDO had no contribution in this paper. It improves our chances to get funds from government organisations if we show some collaborative work (with government institutions), that is why the person was included in the paper,” he told the press.
Scientific misconduct or human error?
Cheshire has stated that not all the flagged issues is to be taken as evidence for scientific misconduct as some can be chalked down to honest human error like uploading it multiple times as well.
Elizabeth Bik, a Dutch microbiologist renowned for her work in detecting manipulation in research papers had a different side to take as she commented that a lot of what had been flagged on PubPeer could not be explained as an honest error.
A 2019 blog post by Bik explained that there were three types of image duplication to be spotted in research papers.
The first category which could potentially be an honest error is where two images look identical when the same photo was inserted by accident.
The second category which is to be taken aa a sign of manipulation is when the images are flipper or shifted. “These are less likely to occur as the result of an honest error, and more likely to be done intentionally, than Category I,” she wrote in her post.
Bik describes Category III duplications as those where features, such as cells, bands, or groups of dots, appear multiple times within the same photo, or in a different photo.“Most of these are very hard to explain by honest error, and more likely to be the result of an intentional alteration of a photo than duplications of category I or II,” she said.
DRDO scientists are claiming that the concerns flagged on PubPeer will be looked into.
“DRDO follows strict procedures of internal review for publication of data. However, concerns raised will be looked into with due diligence,” a spokesperson from DRDO Delhi headquarters told the media.
“The process may take some time since some authors (involved in the papers) have retired,”.
Golime RamRao who had one of his research team’s paper flagged had the following to say, “We think that the flagged error is only one minor error and does not substantially affect the results of the study,”.
“Once we are able to open our raw images without any glitches then we will respond to you and take up this issue with the editorial office for further action if a wrong micrograph has been used due to honest human error,” he added.
4 Responses
Good for Cheshire!!!!!! 🙂 We need a team of Chesires WORLDWIDE TO OUT THE RAMPANT FRAUD ESPECIALLY IN U.S.A. AND CHINA.Pubpeer should recruit like thetes no tomorrow and shine a light on the liars.Wall of Shame with specific incidents is needed.Cancer is curable and many diseases are created in military labs,not magically erupting from bats,monkeys or camels.They create chimeras and use pass through methods to create gain of function virulent entities.RSV,Ebola,SARS,covd,MERS,AIDS,Lyme Diseases and some Hepatitis are manmade.Informations out there,but one must search.Peace and Unity.
This is much needed revelation – – GGI exposing fraudulent research racket , and special thanks to microbiologist Elisabeth Bik ! ……. ….shalom,a.j.
I got $97450 up to now this year working on the online and I’m a full time student. I’AM profited. It’s really simple to know and I’m in order that cheerful that I got some answers regarding it.
Here what I do…. WorkJoin1
A few months ago . I was like a Beggar asking everyone for money and shelter, but a really nice man introduced me to the best on-line work . This work needs no special skills . Now I am able to earn $406/day and $12k/month easy and non-stoppable money . It helps lots financially .Everybody must try this by just using the info on this page……….. Click Here